国产免费美女,亚洲一区免费视频,97视频在线免费,97国产爽爽爽久久久,东北亲子乱子伦视频,久国产精品,盛夏晚晴天美女如云

肺結節成因深度解析,如何形成的?,肺結節成因深度解析,形成機制與防治探討

肺結節成因深度解析,如何形成的?,肺結節成因深度解析,形成機制與防治探討

chushichang 2025-10-23 熱點 186 次瀏覽 0個評論
本文摘要:本文主要深度解析肺結節的成因,探討了肺結節是如何形成的。文章介紹了可能導致肺結節產生的多種因素,包括環境因素、遺傳因素、生活習慣等。也強調了了解肺結節成因對于預防和治療的重要性。

本文目錄導讀:

  1. 肺結節的形成原因
  2. 如何預防肺結節的形成?

本文將深入探討肺結節的形成原因,包括環境因素、遺傳因素、生活習慣等多個方面,旨在提高公眾對肺結節的認識,預防其發生。

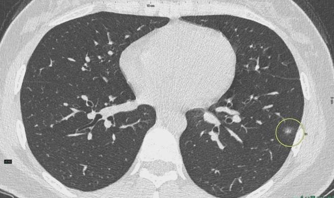
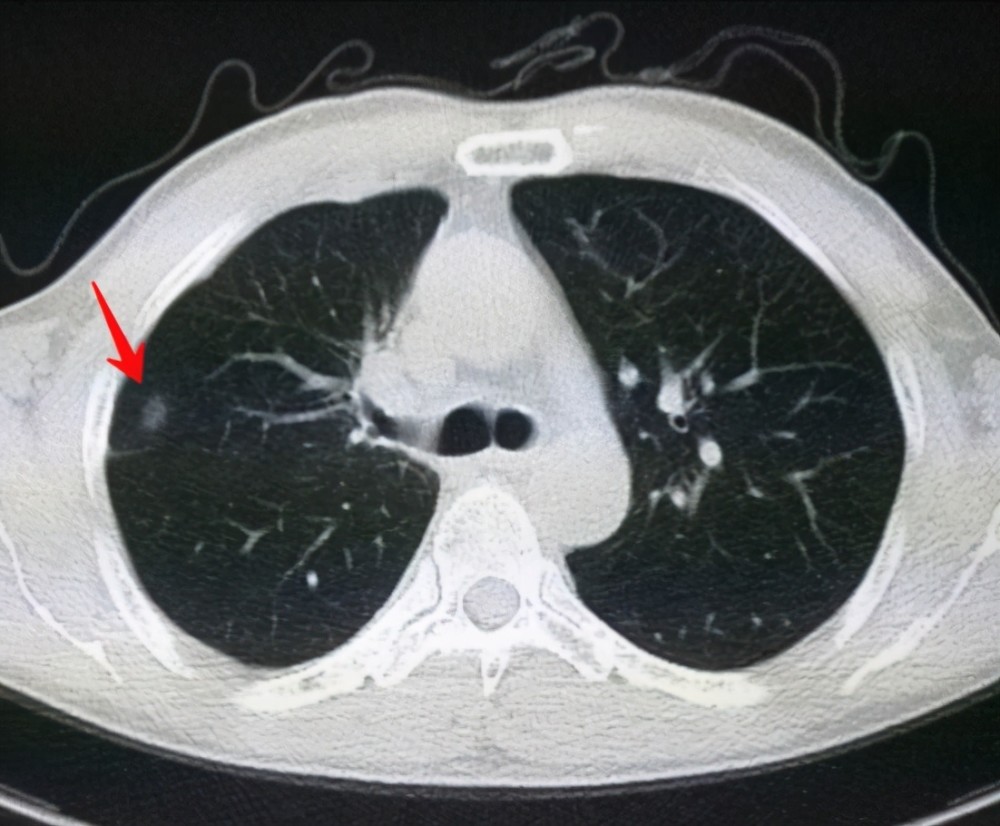
肺結節是一種常見的肺部疾病,其發病率逐年上升,雖然肺結節多數情況下是良性的,但也有可能惡化為肺癌,了解肺結節的形成原因對于預防和治療具有重要意義,本文將為您詳細解析肺結節的形成機制。

肺結節的形成原因

1、環境因素

環境因素是肺結節形成的重要原因之一,長期暴露于污染環境中,如空氣污染、化學污染等,可能導致肺部吸入有害物質,從而引發肺結節,長期接觸石棉、硅塵等職業環境因素也可能增加肺結節的發病風險。

2、遺傳因素

遺傳因素也是肺結節形成的重要因素,研究表明,家族中有肺癌或肺結節病史的人群,其患病風險較高,遺傳缺陷可能導致肺部細胞異常增生,從而引發肺結節。

肺結節成因深度解析,如何形成的?,肺結節成因深度解析,形成機制與防治探討

3、生活習慣

生活習慣對肺結節的形成也有一定影響,長期吸煙是肺結節形成的重要危險因素之一,煙草中的有害物質會對肺部造成損傷,導致肺部細胞異常增生,長期熬夜、飲食不規律等不良生活習慣也可能影響肺部健康,增加肺結節的發病風險。

4、免疫系統異常

免疫系統異常也可能導致肺結節的形成,免疫系統功能異常時,肺部可能無法有效清除感染、炎癥等刺激因素,導致肺部組織損傷和修復過程失衡,進而引發肺結節。

如何預防肺結節的形成?

1、改善環境:盡量避免長期暴露于污染環境中,保持室內空氣清新,減少化學物質的接觸。

肺結節成因深度解析,如何形成的?,肺結節成因深度解析,形成機制與防治探討

2、戒煙限酒:戒煙是預防肺結節的重要措施之一,限制酒精攝入也有助于維護肺部健康。

3、健康飲食:保持均衡的飲食,多攝入新鮮蔬果,減少高脂肪、高鹽、高糖食品的攝入。

4、規律作息:保持充足的睡眠,避免熬夜等不良生活習慣。

5、鍛煉身體:適量運動有助于增強免疫力,預防肺部疾病。

6、定期體檢:定期進行肺部檢查,及時發現并治療肺結節。

肺結節成因深度解析,如何形成的?,肺結節成因深度解析,形成機制與防治探討

肺結節的形成是一個復雜的過程,涉及環境因素、遺傳因素、生活習慣和免疫系統等多個方面,了解這些成因有助于我們采取有效的預防措施,降低肺結節的發病風險,通過改善環境、戒煙限酒、健康飲食、規律作息、鍛煉身體和定期體檢等措施,我們可以更好地保護肺部健康,預防肺結節的發生。

對于已經發現肺結節的患者,應及時就醫,進行進一步的檢查和治療,醫生會根據患者的具體情況制定個性化的治療方案,包括藥物治療、手術治療等,早期發現、早期治療是提高肺結節治愈率的關鍵。

肺結節的形成是一個多因素的過程,我們需要從多個方面入手,采取有效的預防措施,保護肺部健康,對于已經發現肺結節的患者,應積極配合醫生的治療,爭取早日康復,希望通過本文的解析,能幫助大家更好地了解肺結節的形成原因,提高公眾對肺部健康的重視程度。

2025新澳精準資料大全,2025新澳門精準免費大全,新澳全年免費資料大全,2025年天天彩免費資料,2025澳門精準正版免費大全,2025新奧正版資料免費,2025新澳精準資料免費,2025新澳精準正版資料,2025新澳正版資料最新更新,新奧天天精準資料大全,2025新澳資料大全免費,2025正版資料免費公開,新澳2025正版免費資料,2025新澳精準資料免費提供下載,新奧長期免費資料大全,新澳新澳門正版資料,2025新澳正版免費資料大全,新奧精準免費資料提供,新澳精選資料免費提供新澳精準資料免費提供網,新澳精準資料免費提供網,新澳正版資料免費提供,2025澳門天天開好彩大全46期,新奧最快最準免費資料,新澳正版資料免費大全,2025新奧精準正版資料,2025年新奧正版資料免費大全,新澳準資料免費提供,新澳資料免費精準期期準,2025新澳資料免費大全,2025全年資料免費大全,2025新澳最快最新資料,2025新澳正版免費資料,新澳今天最新免費資料,新澳今天最新資料2025,2025新奧精準資料免費大全,2025澳門正版免費資料,2025正版資料免費大全,2025澳門精準正版免費,2025年天天彩免費資料,2025澳門天天開好彩,澳門天天彩期期精準,新澳門免費精準大全,2025天天彩免費資料,2025正版資料免費公開,澳門天天開彩期期精準,2025精準免費資料查詢,2025澳門免費精準大全,澳門天天彩免費精準大全,2025精準資料免費提供最新版,新澳2025最新資料大全,2025澳門正版資料大全,2025精準資料免費大全,新澳門精準免費大全,7777788888澳門王中王2025年,2025新澳門天天免費精準,2025澳門精準免費大全,澳門天天彩精準免費大全,2025年澳門天天開好彩,2025年澳門天天彩資料,2025年天天開好彩大全,澳門一碼一碼100精準,澳門天天彩期期精準單雙波色,澳門管家婆100%精準準確,新澳大全2025正版資料,2025新澳精準免費大全,新澳門天天免費精準大全,澳門天天免費精準大全,2025天天彩全年免費資料,2025最新免費資料大全,新澳門最精準更新最快,2025澳門精準正版澳門,澳門一肖一碼一待一中,2025年澳門天天有好彩,2025新澳門精準正版免費,2025新澳門最精準免費大全,2025澳門天天開好彩大全65期,澳門精準正版免費大全14年新,澳門天天開好彩正版掛,2025年新澳門天天開好彩,2025新澳門全年免費,澳門精準正版免費大全,澳門天天免費精準大全公開,2025年天天開好彩資料,2021澳門天天開彩,澳門免費精準材料資料大全,2025年澳門正版大全,新澳門2025最精準免費大全,2025年天天彩精準資料,2025新澳天天彩資料,2025新澳正版資料大全,澳門天天好好免費資料,2025新澳門正版大全,2025新澳門天天免費精準大全,2025澳門精準正版掛牌,2025全年免費資料大全,澳門管家婆100%精準圖片,澳門一肖一碼一一特一中,新奧精準免費提供澳門,澳門天天好掛牌正版,2025新澳門精準正版,二四六天好彩944cc246天好資料,2025年新澳門正版免費,新澳門最精準正最精準龍門,2025澳門天天有好彩,2025新澳門精準免費提供,澳門天天彩期期精準新,2025澳彩免費資料大全,澳門天天彩免費大全,2025天天彩正版免費資料,新澳門最精準免費大全,2025年澳門正版免費,2025年全年資料免費大全,2025精準資料免費提供,澳門正版免費精準大全,正版資料免費大全,澳門傳真免費費資料,2025澳門精準正版資料,2025年新奧正版資料,2021澳門天天開獎結果,新2025澳門天天開好彩,新澳門精準正版免費提供,2025年正版資料免費大全,7777788888精準新傳真,2025全年資料免費公開,二四六天好彩944CC資料大全,天天開好彩免費資料,港彩二四六免費資料,澳門管家婆100%精準天天,天天澳門彩期期精準,澳門精準正版資料大全免費閱讀,澳門二四六天天免費好資料,2025新奧天天開好彩,2025新澳門天天開好彩,今晚澳門9點35分開獎結果,2025新奧最新資料大全,新澳門王中王100%期期中,2025澳門特馬今晚開獎,王中王資料大全料大全1,今晚新澳門9點35分開獎結果,2025年新澳門天天開彩資料,2025澳門特馬開獎結果,2025新澳門天天開好彩大全,777788888管家婆免費,2025新澳門特馬今晚開獎掛牌,新澳最精準正最精準龍門,777778888精準免費四肖,新2025年澳門天天開好彩,新奧2025資料大全最新版本,新澳2025精準正版免費資料,澳門九點半9點半網站,2025新奧原料免費大全,派幣2025年官方最新消息,新澳2025年最新版資料,新奧最精準免費大全功能介紹,2025澳門特馬今晚開獎掛牌,澳門一肖中100%期期準海南特區號,新澳今天晚上9點30分開門嗎,2025年新澳門特馬今晚,白小姐資料大全+正版資料白小姐奇緣四肖,新奧2025資料大全,22324濠江論壇一肖一碼,2025年新澳門天天開好彩大全,2025新澳門天天開獎記錄,2025新奧最精準免費大全,今晚開一碼一肖,小77論壇大陸最新版本更新內容,2025澳門天天開好彩大全體育,新奧精準免費提供網料站,新澳今天晚上9點30分,正版資料免費資料大全最新版本,2025澳門特馬今晚開獎138期,新澳天天開獎資料大全600tKm,澳門廣東八二站資料,新奧今晚9.30分開什么,2025今晚澳門天天開彩免費,新2024年澳門天天開好彩,新奧今晚上開獎9點30分6,今晚澳門9點35分開獎,2025特馬今晚開獎,2025新澳門特馬今晚開,白小姐今晚特馬期期開獎六,澳門一碼一碼100準確a07版,新門內部資料精準大全,澳門新奧9點30分最新消息,新澳今晚特9點30開什么,最準一碼一肖100%鳳凰網,新澳門今晚買什么特馬,2025澳門特馬今晚開獎結果,王中王免費資料大全料大全一一l,新奧天天開彩免費公布,澳門彩天天期期精準單雙波色,7777888888管家婆網一,今晚澳門特馬開獎結果,新奧最精準免費大全官方版亮點分享,香港二四六天天免費開獎,一肖一碼,2025澳門開獎結果,2025新澳門正版免費掛牌燈牌,2025年新澳門天天開獎免費查詢,王中王72396王中王開獎結果,2024新澳門正版免費資本車,澳門六和彩資料查詢2025年免費查詢01-32期,新澳今晚開獎結果,二四六香港資料期期中準,六和彩開碼資料2025開獎結果香港,新澳天天彩資料大全最新版本,2025澳門今晚開獎結果,2024新澳門正版免費,管家婆期期四肖四碼中特管家,新澳門三期內必出生肖,新澳門精準四肖期期準億彩網,WW777766香港開獎記錄查詢2023,7777788888新澳門,一肖一碼100%中,新澳門今晚9點30分開獎結果,龍門客棧澳門資料,7777888888精準新管家,管家婆一碼一肖100中獎,2025澳門精準正版圖庫,新奧800圖庫800圖片,600圖庫大全免費資料圖2024197期,77777888管家婆四肖四碼,72396王中王開獎結果,新澳天天開獎資料大全62期,新澳門最準的四肖期期準,最準一肖一碼一一香港澳王一王,2025澳門六今晚開獎,7777788888澳門王中王2025年,澳門最精準正最精準龍門客棧,澳彩資料免費的資料大全wwe,今天晚9點30開特馬開,新奧門六和彩今晚開獎資料,新澳門今晚9點30分開獎,2024澳門特馬今期開獎,2024新澳門原料免費大全,55123新澳門開獎結果查詢,澳門今晚開特馬+開獎結果課優勢,37197com澳彩資料查詢資料,王中王72396王中王開獎結果記錄,2024新澳三期必出一肖,2024澳門特馬今晚開獎現場實況,新澳今晚上9點30開獎結果,777888精準管家婆免費,2025澳門天天彩正版歇后語精準,2024年澳門大全免費金鎖匙,2024新奧原料免費大全,4924全年免費資料大全,4949cc澳彩資料大全正版,王中王72396免費版功能介紹,小魚兒玄機二站資料提供資料,新奧2024年免費資料大全,新澳門一肖一特一中,二四六香港資料期期準中特,澳門一肖一特一中,二四六香港資料期期中準頭條,7777788888精準管家婆,王中王100℅期期準澳彩,2024澳彩管家婆資料傳真,2024澳門天天開好彩大全蠱,77777788888王中王中2025,2025澳門特馬今晚開碼,2025今晚必出三肖,澳門管家婆100%精準,澳門今晚開特馬四不像圖,2025澳門今晚開特馬,2025年澳門今晚開獎號碼,香港資料免費資料大全,2025新年澳門天天彩免費大全,管家婆必出一中一特,2025年新澳門開碼記錄,王中王493333中特馬,2025新澳正版資料最新,2025年今晚澳門特馬開獎結果是什么,2025澳門今晚開獎號碼,2025年白小姐四肖四碼,2025年新澳最精準正最精準大全,今晚必出三肖2025,香港免費公開資料大全,2025新澳天天開獎資料大全,2025新澳門正版免費,2025澳門今晚開獎記錄,管家婆100%中獎,最準一肖一碼一孑一特一中,2025年澳門特馬今晚號碼,今晚澳門9點35分開什么,澳門一肖一碼100%期期精準/98期,澳門最精準免費資料大全旅游團,2025澳門今晚必開一肖,管家一肖一碼100中獎,2025年澳門歷史記錄,2025澳門特馬今晚開什么碼,2025新澳門天天開獎記錄查詢,澳門一碼一特一中準選今晚,2025今晚澳門開什么碼,管家婆100期期中管家,7777888888精準管家婆,2025年今晚澳門開獎結果,新澳2025今晚開獎資料匯總,今晚澳門9點35分開什么號碼,2025新奧精準免費,澳門王中王100%期期中,今晚澳門9點35分開06,新澳2025今晚開獎資料大全,澳門管家婆100中,2024澳門精準正版免費,2025澳門開獎結果查詢,澳門一碼一肖一特一中是合法的嗎,2025澳門特馬今晚開獎結果出來了,7777788888王中王開獎十記錄網一,7777788888精準一肖,澳門一肖一碼一必中一肖雷鋒,今晚9點35出結果,新澳2025今晚特馬開獎結果查詢表,2025澳門天天開好彩精準,7777788888管家婆老家,2025新澳特今天的消息,新奧精準免費提供港澳彩,2025新澳門開獎查詢,2025新門最準最快資料,最準一肖一碼一子中特7955,新奧最精準免費提供,最準一肖一碼100%噢,2025新澳門開碼結果查詢,管家婆必出一中一特100,2025年的新澳正版資料,今晚澳門特馬必中一肖,2025新澳三期必出一肖,最準一碼一肖100精準老錢莊揭秘,最準一碼一肖100%噢,62827·cσm查詢澳彩最新消息,新澳今天晚上9點35分,2025新澳門今晚特馬,7777788888王中王中特,7777788888管家婆免費,最準一肖一碼一一子中特7955,2025新澳門正版免費大全,777788888最精準四肖中特,2025新澳門開獎結果記錄,管家最準一碼一肖100%,新澳門六最新資料,2025澳門六今晚開獎號碼,2025年新澳門免費大全,2025新澳門正版免費正題,2025澳門特馬開獎查詢,最準的一肖,新澳門王中王100期期中,婆家一肖一碼100,2025年今晚澳門特馬,2025澳門開獎結果記錄,2025新澳門最精準正最精準龍門,澳門管家一肖一碼一開,2024澳門六今晚開獎結果出來,2025澳門天天開獎大全,7777788888精準四肖,2025年澳門特碼開獎結果,最準一肖一碼一一中一特,香港特馬資料王中王,今晚必出三肖,馬會傳真資料2025澳門,香港免費大全資料大全,澳門最準一肖一碼一碼孑,2025天天開彩資料大全免費,2025新澳門天天開獎免費查詢,澳門一碼一肖一待一中直播,新澳門全年免費料精準,2025新澳今晚最新資料,7777788888精準新免費四肖,澳門一肖一碼100%準確?,澳門一碼一肖一特一中是公開的嗎,2025新澳門開碼記錄,2025新澳正版資料最新更新,2025澳門特馬今晚開獎億彩網,澳門一碼一肖一特一中管家,澳門最精準正最精準龍門,一肖一碼一一肖一子深圳,2025澳門特馬今晚開獎49圖片,今晚澳門9點35分開獎結果2025,2025澳門天天開彩資料大全,澳門一肖一碼一必中一肖同舟前進,新澳2025天天正版資料大全,新澳2025年正版資料,新澳門平特一肖100期開獎結果,最準一肖100%中一獎,新澳天天開獎資料大全最新100期,2025新澳門正版掛牌,2025今晚新澳門開獎號碼,新奧最精準免費大全,澳門管家婆100中獎,2025年澳門天天彩正版免費大全,2025新澳門碼今晚開獎結果,新澳2025今晚特馬開獎結果,管家婆必出一中一特100%,2025年澳門免費資料,正版資料,2025年新奧正版資料最新更新,777788888管家婆中特,100%準確一肖一.100%準新澳今晚上9點30開獎直播,2025澳門特馬今晚開獎49,新澳門最精準確精準,新奧精準精選免費提供,澳門精準一肖一碼一一中,2025年澳門正版免費大全,2025天天開彩資料大全,7777888888精準新傳真,62827cσm澳彩資料查詢優勢,新澳天天開獎資料大全正版,2025年新澳門天天開獎結果,新澳2025今晚開獎結果是多少,澳門彩開獎結果2025開獎記錄,2025年正版資料全年免費,2025正版新奧管家婆香港,澳門一肖一碼100%精準王中王,2025新澳歷史開獎,2025澳門歷史記錄,2025新澳門正版免費正題,新澳門2025年正版免費公開,新澳三期必出一肖,澳門一碼一碼100準確,77777788888王中王中特亮點,2025澳門正版今晚開獎結果,2025天天開彩免費資料,2025新澳門天天精準免費大全,7777788888管家精準管家婆免費,2025年澳門開獎結果,曾道道人資料免費大全,2025今晚澳門開獎結果,2025年澳門彩開獎記錄,7777788888管家精準一肖,77778888精準管家婆免費,新2025澳門兔費資料,澳門正版免費全年資料,澳門一碼一肖一待一中四,澳門一碼一碼100準確,2025全年資料免費,新澳今晚上9點30單雙參考,澳門一碼一肖一待一中四不像一,澳門三肖三淮100淮,新奧天天開獎資料大全1052期,2025年新澳門全年免費,新澳門精準正最精準澳門一碼一肖一特一中詳情,二四六香港資料期期中,澳門王中王100期期準,管家一肖一碼100%中獎一,澳門一肖一碼100%準確落實,王中王100%期期準澳彩,2025年新澳天天開獎,新澳2025今晚開獎資料查詢結果,2025港六今晚開獎號碼,2025年新澳門天天開獎記錄,澳門最準內部資料期期,新澳門開獎結果2025開獎記錄查詢表,王中王一肖一碼一中一MBA,新澳今天最新資料2025,新澳2025年正版資料大全,新澳資料大全正版2025 ,新澳大全2025正版資料,

轉載請注明來自濰坊公路發展集團有限公司,本文標題:《肺結節成因深度解析,如何形成的?,肺結節成因深度解析,形成機制與防治探討》

每一天,每一秒,你所做的決定都會改變你的人生!

發表評論

快捷回復:

評論列表 (暫無評論,186人圍觀)參與討論

還沒有評論,來說兩句吧...

Top
網站統計代碼13